Informazioni sui servizi di odontoiatria restaurativa
Presso Suada Health, crediamo che ogni paziente meriti un sorriso sano, funzionale e sicuro. Il nostro team dedica tempo a comprendere le esigenze e gli obiettivi unici di ciascun paziente, creando piani di trattamento personalizzati che ripristinano sia comfort sia estetica. Ci concentriamo sulla costruzione di fiducia e relazioni durature, guidando i pazienti in ogni fase del loro percorso restaurativo.
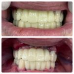
L’odontoiatria restaurativa comprende trattamenti come impianti dentali, corone, ponti, dentiere e otturazioni. Che si tratti di riparare un dente danneggiato o sostituire denti mancanti, la nostra missione è ripristinare il tuo sorriso con risultati duraturi, confortevoli e dall’aspetto naturale. Utilizzando tecniche basate su evidenze scientifiche e materiali di alta qualità, garantiamo che il trattamento sia sicuro, efficace e duraturo.
Al di fuori della clinica, valorizziamo uno stile di vita consapevole, equilibrio e benessere. Come team, amiamo rimanere attivi, trascorrere tempo con famiglia e amici e costruire abitudini positive — lo stesso approccio olistico che applichiamo nella cura dei nostri pazienti.
Domande frequenti
Cos’è l’odontoiatria restaurativa?
L’odontoiatria restaurativa si concentra sulla riparazione o sostituzione di denti danneggiati o mancanti. I trattamenti includono otturazioni, corone, ponti, impianti e dentiere. Queste procedure non solo ripristinano la funzionalità — permettendo di masticare e parlare comodamente — ma migliorano anche l’aspetto, la fiducia e la salute orale a lungo termine. L’odontoiatria restaurativa colma il divario tra salute ed estetica, assicurando che il tuo sorriso appaia e si senta naturale.
Quando è necessario un trattamento restaurativo?
Potresti aver bisogno di cure restaurative se hai carie, denti rotti, denti mancanti o lavori dentali più vecchi che non funzionano più correttamente. Un trattamento precoce previene il peggioramento dei problemi, evitando dolore e procedure costose in seguito. Se noti sensibilità, difficoltà a masticare o danni visibili, è meglio programmare una consulenza. Anche problemi minori possono essere corretti rapidamente prima che diventino seri.
I trattamenti restaurativi fanno male?
La maggior parte delle procedure viene eseguita con anestesia locale, rendendole confortevoli e praticamente indolori. Il recupero è di solito rapido e gestibile. Grazie alle tecniche moderne e alle opzioni di sedazione, molti pazienti riferiscono poco o nessun disagio durante il trattamento. Eventuali lievi dolori dopo le procedure possono generalmente essere gestiti con farmaci da banco. La nostra priorità è sempre il tuo comfort e la tranquillità durante tutto il processo.
Quanto durano le soluzioni restaurative?
Con una buona igiene orale e controlli regolari, corone, ponti e impianti possono durare molti anni — gli impianti spesso durano tutta la vita. La durata del restauro dipende da fattori come alimentazione, abitudini quotidiane e routine di cura orale. Ad esempio, le otturazioni possono durare 5–10 anni, mentre le corone spesso durano 10–15 anni o più. Una manutenzione professionale regolare garantisce che i restauri rimangano forti e funzionali a lungo termine.
I trattamenti restaurativi sono costosi?
Offriamo prezzi trasparenti e opzioni accessibili. Investire nell’odontoiatria restaurativa permette di risparmiare nel lungo periodo, prevenendo problemi dentali più seri. Sebbene i costi varino in base alla procedura e ai materiali utilizzati, ci concentriamo sull’offrire valore e cure di qualità a prezzi competitivi. Considerando la durata degli impianti e delle corone, il trattamento restaurativo rappresenta un investimento a lungo termine sia per la salute sia per la fiducia.








