Dicci quando vuoi essere richiamato

Odontoiatria estetica

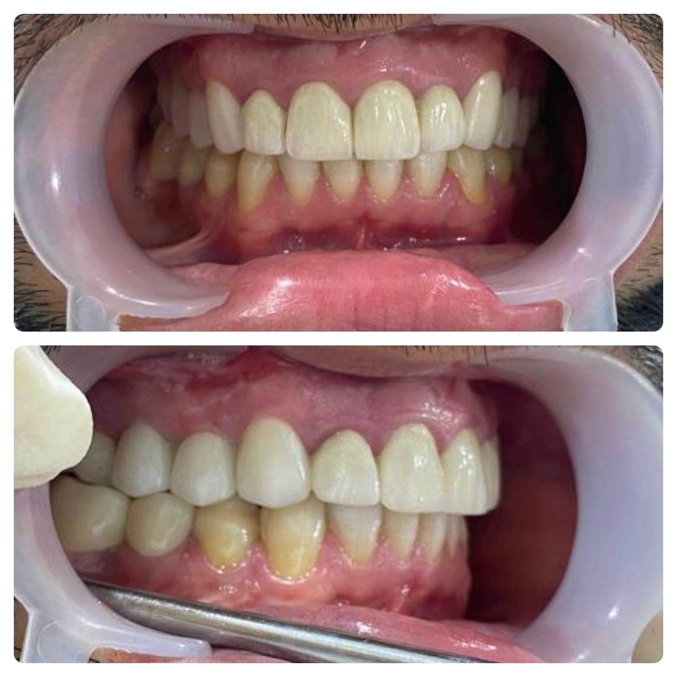
Informazioni sui servizi di odontoiatria estetica

Presso Suada Health, ci piace aiutare i nostri pazienti a ottenere il sorriso che hanno sempre desiderato. Crediamo che ogni sorriso sia unico, quindi dedichiamo tempo ad ascoltare gli obiettivi di ciascun paziente e a progettare un piano di trattamento personalizzato. Il nostro team combina tecniche avanzate con materiali certificati per offrire risultati sia naturali sia duraturi.

Siamo dedicati a fornire cure estetiche compassionevoli e personalizzate. Dai veneers e corone in zirconio allo sbiancamento e ai makeover del sorriso, il nostro obiettivo è valorizzare la fiducia e migliorare la qualità della vita complessiva. La prevenzione e l’educazione del paziente fanno parte del nostro approccio, così il tuo nuovo sorriso rimarrà sano per molti anni.

Al di fuori della clinica, il nostro team valorizza equilibrio e benessere. Amiamo trascorrere tempo con famiglia e amici, rimanere attivi all’aperto e vivere con consapevolezza attraverso routine positive e abitudini salutari — la stessa cura che incoraggiamo nei nostri pazienti.

Domande frequenti

Sì. Tutte le nostre procedure estetiche utilizzano materiali certificati e tecniche basate su evidenze scientifiche per garantire sicurezza e durata. L’odontoiatria estetica non riguarda solo l’aspetto estetico — i trattamenti sono eseguiti considerando la salute orale complessiva. Valutiamo attentamente ogni caso, assicurandoci che gengive e denti siano sani prima di iniziare qualsiasi procedura. Con una pianificazione adeguata e cure professionali, i trattamenti estetici sono sicuri ed efficaci.

 

La maggior parte dei trattamenti è minimamente invasiva e praticamente indolore. L’anestesia locale e le tecniche moderne rendono il processo confortevole. Per veneers, corone e sbiancamento, il disagio è generalmente lieve, spesso limitato a una sensibilità temporanea. I pazienti rimangono spesso sorpresi dalla facilità dell’esperienza e molti ritornano per ulteriori trattamenti grazie al comfort e alla fiducia acquisita.

 

Con una cura adeguata e controlli regolari dal dentista, veneers e corone in zirconio possono durare 10–15 anni o più. La longevità dipende dalle abitudini quotidiane come spazzolatura, uso del filo interdentale, evitare cibi molto duri e partecipare a visite dentistiche di routine. Grazie ai progressi dei materiali, i veneers e le corone di oggi sono più resistenti, dall’aspetto più naturale e progettati per sopportare le forze masticatorie quotidiane mantenendo un sorriso bello.

 

No. I risultati dello sbiancamento sono duraturi ma non permanenti. Con una buona igiene orale e sedute di mantenimento, il tuo sorriso può rimanere luminoso per anni. Fattori dello stile di vita come fumo, caffè, tè e vino rosso possono influenzare la rapidità con cui i denti si macchiano di nuovo. Offriamo opzioni professionali di sbiancamento che producono risultati evidenti e consigli su come mantenere il sorriso sbiancato a casa.

 

La maggior parte dei pazienti è idonea. Una consulenza ci aiuta a valutare la tua salute orale, discutere i tuoi obiettivi e raccomandare le soluzioni estetiche più adatte. I candidati ideali hanno denti e gengive sani e vogliono migliorare l’aspetto del proprio sorriso. Anche i pazienti con problemi dentali come scheggiature, discolorazioni o lievi disallineamenti possono beneficiare dei trattamenti estetici. Il nostro team personalizza ogni piano sulle tue esigenze uniche, garantendo sia bellezza sia funzionalità.