Informazioni sui servizi di ortodonzia
Presso Suada Health, crediamo che denti allineati non siano solo estetici — rappresentano la base per una salute orale duratura. Il nostro team ama costruire relazioni a lungo termine con i pazienti e guidarli passo dopo passo nel loro percorso ortodontico. Ogni sorriso è unico, quindi ascoltiamo attentamente e progettiamo piani di trattamento personalizzati in base allo stile di vita, all’età e agli obiettivi del paziente.
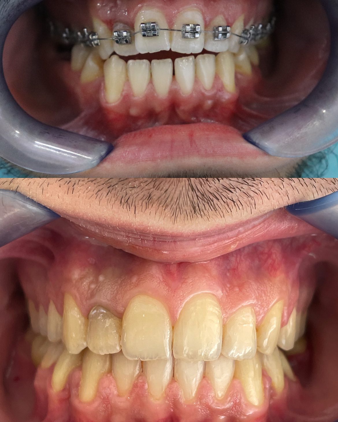
Offriamo una gamma completa di servizi ortodontici, dai tradizionali apparecchi metallici agli allineatori trasparenti moderni. Utilizzando tecnologie avanzate, ci concentriamo su un’occlusione sana, miglioramento della funzionalità e sorrisi sicuri e fiduciosi. L’educazione del paziente è centrale nel nostro approccio, così ogni persona si sente informata e a proprio agio durante tutto il processo.
Al di fuori della clinica, valorizziamo equilibrio e benessere. Il nostro team ama mantenersi attivo, trascorrere tempo con famiglia e amici e vivere con consapevolezza — lo stesso approccio che applichiamo nel supportare i pazienti verso sorrisi più sani e allineati.
Domande frequenti
Perché il trattamento ortodontico è importante?
L’ortodonzia corregge denti disallineati e problemi di occlusione. Oltre a migliorare l’aspetto estetico, aiuta a prevenire usura dei denti, dolore mandibolare e malattie gengivali. Denti storti o affollati possono rendere più difficile spazzolare e usare il filo interdentale, aumentando il rischio di carie e problemi gengivali. Allineando correttamente i denti, l’ortodonzia migliora non solo il sorriso, ma anche la salute orale a lungo termine e la fiducia complessiva.
Quali tipi di opzioni ortodontiche sono disponibili?
Offriamo apparecchi metallici, apparecchi in ceramica e allineatori trasparenti. Ogni opzione è progettata per adattarsi a diversi stili di vita e necessità di trattamento. Gli apparecchi tradizionali sono efficaci per casi complessi, quelli in ceramica si fondono con i denti naturali per un aspetto discreto, e gli allineatori trasparenti offrono comfort e flessibilità. Durante la consulenza ti aiuteremo a scegliere la soluzione più adatta ai tuoi obiettivi, budget e routine quotidiana.
Quanto dura il trattamento ortodontico?
La durata varia, ma solitamente va dai 12 ai 24 mesi, a seconda della complessità del caso e della collaborazione del paziente. Casi semplici possono concludersi in meno di un anno, mentre correzioni più complesse dell’occlusione possono richiedere più tempo. Seguire costantemente le istruzioni, rispettare gli appuntamenti e indossare allineatori o elastici secondo le indicazioni può ridurre significativamente i tempi e migliorare i risultati.
Il trattamento ortodontico è solo per bambini?
No. Molti adulti scelgono l’ortodonzia per migliorare funzione ed estetica. Gli allineatori moderni rendono il trattamento discreto e confortevole. L’ortodonzia per adulti è sempre più diffusa perché le persone riconoscono i benefici a lungo termine di denti allineati. L’età non è un limite — finché gengive e osso sono sani, l’ortodonzia funziona anche per gli adulti. Non è mai troppo tardi per migliorare il proprio sorriso.
Come prendersi cura dei denti durante il trattamento?
Spazzolare e usare il filo quotidianamente è essenziale. Pulizie dentistiche regolari e evitare cibi appiccicosi o duri aiutano a proteggere apparecchi e mantenere la salute orale. Spazzolini speciali, filo interdentale con guida e collutori facilitano la pulizia attorno a brackets e fili. Per i pazienti con allineatori, spazzolare dopo i pasti e risciacquare le mascherine quotidianamente mantiene gli allineatori puliti e igienici. Una buona igiene durante il trattamento garantisce i migliori risultati e un sorriso sano e sicuro.








