Dicci quando vuoi essere richiamato

Implantologia

Informazioni sui servizi di implantologia di Suada Health

Da Suada Health, ci piace conoscere i nostri pazienti e costruire relazioni durature. Ogni sorriso è unico, quindi dedichiamo tempo ad ascoltare attivamente e comprendere le esigenze, gli obiettivi e il background culturale di ciascun paziente. La nostra missione è fornire informazioni chiare per permettere ai pazienti di prendere decisioni sicure sulla loro salute dentale.

Siamo dedicati a offrire cure implantologiche compassionevoli e personalizzate, utilizzando tecniche basate su evidenze scientifiche e materiali certificati. La nostra passione è restituire sorrisi attraverso l’implantologia — aiutando i pazienti a ritrovare comfort, fiducia e salute orale a lungo termine.

Al di fuori della clinica, valorizziamo equilibrio e benessere. Come team, ci piace praticare attività all’aperto, viaggiare e trascorrere tempo con famiglia, amici e animali domestici. Crediamo inoltre nel vivere con consapevolezza, creando routine positive e rituali rilassanti.

Domande frequenti

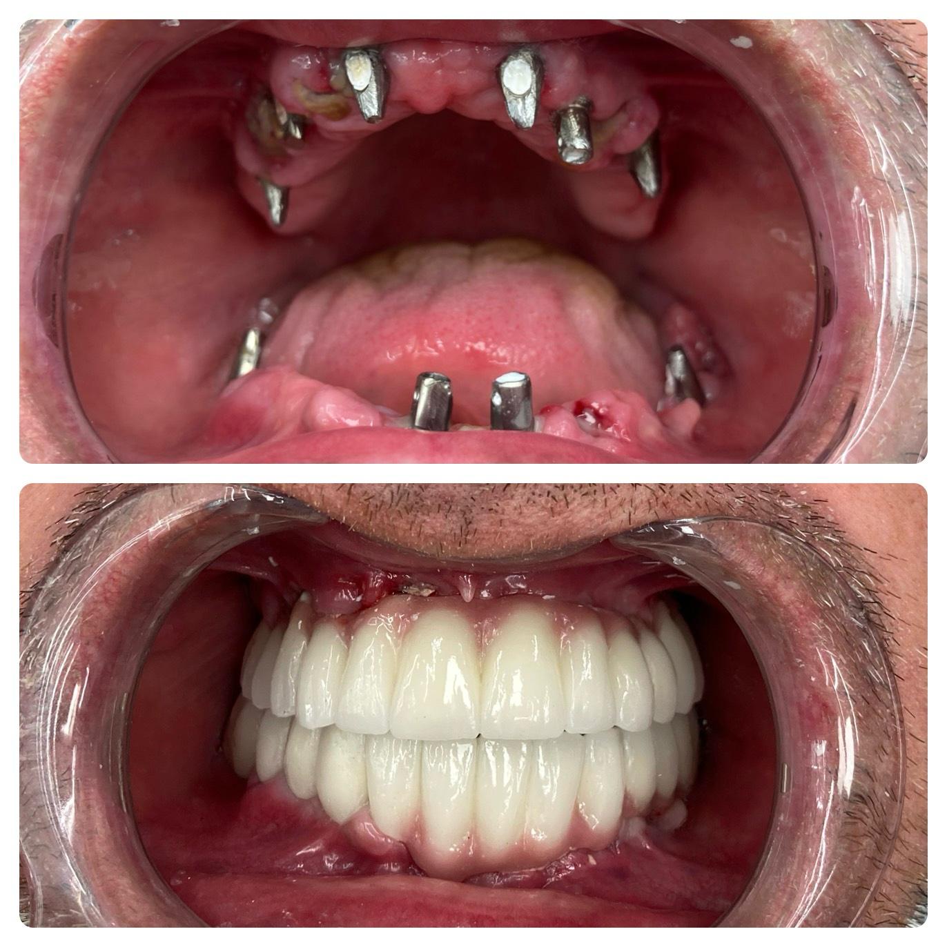
Gli impianti dentali rappresentano lo standard d’eccellenza per sostituire i denti mancanti, offrendo stabilità, durata e un aspetto e una sensazione naturali. Non migliorano solo l’estetica — ripristinano anche la capacità di masticare, preservano la struttura del viso e aiutano a prevenire la perdita ossea della mandibola. Per molti pazienti, gli impianti non sono solo cosmetici, ma essenziali per la salute orale a lungo termine e la fiducia complessiva.

 

Gli impianti proteggono l’osso mascellare, prevengono la perdita ossea e permettono ai pazienti di mangiare e parlare con piena fiducia — a differenza delle dentiere rimovibili. Diversamente dai ponti tradizionali, gli impianti non richiedono la limatura dei denti sani, contribuendo a preservare la struttura naturale dei denti. Gli impianti inoltre si percepiscono e funzionano come denti veri, offrendo comfort, stabilità e affidabilità che dentiere e ponti non possono eguagliare.

 

Si inizia con una consulenza e immagini 3D. Gli impianti vengono posizionati con precisione e restaurati con corone che appaiono e funzionano come denti naturali. L’intero processo è attentamente pianificato in fasi: valutazione, posizionamento dell’impianto, periodo di guarigione e restauro finale. Con le tecniche moderne, molte procedure sono minimamente invasive e spesso vengono fornite soluzioni temporanee, così da non rimanere mai senza sorriso durante il trattamento.

 

Con cure adeguate, gli impianti dentali possono durare tutta la vita, rappresentando uno dei migliori investimenti a lungo termine per la salute orale. Controlli regolari, buona igiene orale e uno stile di vita sano sono fondamentali per il successo degli impianti. Anche se la corona potrebbe dover essere sostituita dopo 10–15 anni a causa dell’usura normale, l’impianto in titanio è progettato per integrarsi con l’osso e rimanere stabile a vita.

 

La maggior parte degli adulti sani può ricevere impianti. Una consulenza e un esame confermeranno se l’implantologia è adatta a ciascun paziente. Fattori come densità ossea sufficiente, gengive sane e condizioni mediche generali influenzano l’idoneità. Anche i pazienti con perdita ossea possono spesso ricevere impianti grazie a innesti ossei e tecniche chirurgiche avanzate, rendendo gli impianti possibili per una vasta gamma di casi.